Eine professionelle Zahnreinigung folgt einem festen, systematischen Protokoll. So stellen wir sicher, dass kein Bereich vergessen wird und die Behandlung für Sie so angenehm wie möglich ist. Hier erfahren Sie genau, was Sie bei uns erwartet:
Professionelle Zahnreinigung (PZR) in München-Oberföhring | Ab 80€
Ein sauberer Zahnschmelz ist die Basis für lebenslang gesunde Zähne. Unsere professionelle Zahnreinigung in München entfernt auch hartnäckigste Beläge und Zahnstein, die bei der häuslichen Zahnpflege nicht erreicht werden. Mit modernster Air-Flow-Technologie und gründlicher Fluoridierung schaffen wir optimale Voraussetzungen für Ihre Mundgesundheit.

Inhaltsverzeichnis
Was ist eine Professionelle Zahnreinigung?
Die Professionelle Zahnreinigung — kurz PZR — ist eine gründliche, zahnärztlich durchgeführte Reinigung aller Zahnflächen, der Zahnzwischenräume und des Zahnfleischsaums. Sie geht weit über das hinaus, was Ihre tägliche Zahn- und Mundpflege leisten kann. Was als allgemeine Prophylaxemaßnahme begann, ist heute ein unverzichtbarer Bestandteil moderner Zahnmedizin.
Selbst wer zweimal täglich sorgfältig putzt und regelmäßig Zahnseide benutzt, kann nicht alle Bereiche des Mundes ausreichend reinigen. In Zahnzwischenräumen, an der Zahnfleischlinie und auf der Rückseite der Zähne bildet sich innerhalb weniger Stunden ein unsichtbarer, klebriger Bakterienfilm — der sogenannte Biofilm, umgangssprachlich als Plaque bekannt.
Dieser Biofilm ist die Wurzel fast aller Zahnerkrankungen: Zahnfleischentzündungen (Gingivitis), Parodontitis, Karies und sogar Mundgeruch entstehen, wenn Biofilm zu lange auf den Zahnflächen verbleibt. Verkalkt der Biofilm durch Mineralsalze aus dem Speichel, entsteht Zahnstein — eine harte, kreideartige Ablagerung, die sich mit der Zahnbürste nicht mehr entfernen lässt und ausschließlich durch professionelle Instrumente beseitigt werden kann.
Hinzu kommen äußere Verfärbungen durch Kaffee, Tee, Rotwein oder Nikotin, die in die Zahnoberfläche einlagern und das Lächeln trüben. Auch diese Verfärbungen lassen sich nur durch professionelle Reinigungsverfahren — insbesondere durch die Air-Flow-Technik — effektiv und schonend entfernen.
Eine professionelle Zahnreinigung in München bei uns in Oberföhring dauert je nach gewähltem Verfahren 45 bis 75 Minuten. In dieser Zeit entfernen unsere geschulten Dentalhygienikerinnen systematisch alle Ablagerungen, polieren die Zahnoberflächen und versiegeln sie mit Fluoridlack — das Ergebnis: ein frisches, sauberes Gefühl, das auch nach Hause geht.
Empfohlen wird die PZR mindestens einmal jährlich, bei erhöhtem Risiko (Raucher, Diabetiker, Parodontitis-Patienten, Implantatträger) alle drei bis sechs Monate. Viele gesetzliche Krankenkassen bezuschussen die PZR — Ihre Kasse informiert Sie über den genauen Zuschuss.

Ablauf der professionellen Zahnreinigung — Schritt für Schritt
Eine professionelle Zahnreinigung folgt einem festen, systematischen Protokoll. So stellen wir sicher, dass kein Bereich vergessen wird und die Behandlung für Sie so angenehm wie möglich ist. Hier erfahren Sie genau, was Sie bei uns erwartet:

1. Befundaufnahme und Mundhygienestatus
Am Anfang jeder PZR steht ein kurzer Befund: Wir prüfen den Zustand Ihrer Zähne, Ihres Zahnfleisches und Ihrer Mundhygiene. Dazu messen wir die Zahnfleischtaschen an ausgewählten Stellen und dokumentieren eventuelle Entzündungszeichen. Dieser Schritt dauert nur wenige Minuten, gibt aber wichtige Hinweise darauf, welche Bereiche besondere Aufmerksamkeit benötigen und welches Reinigungsverfahren für Sie am besten geeignet ist.
2. Anfärben der Beläge — Biofilm sichtbar machen
Mit einer speziellen Anfärbelösung (Plaqueanfärbemittel) werden alle Biofilmablagerungen angefärbt — rote und blaue Bereiche zeigen Ihnen und uns genau, wo Reinigungsbedarf besteht. Das ist nicht nur für die Behandlung wertvoll, sondern auch eine wichtige Lernmöglichkeit für Sie: Sie sehen sofort, welche Stellen Ihre Zahnbürste zu Hause regelmäßig verfehlt. Dieser visuelle Feedback-Moment ist ein einzigartiger Bestandteil der PZR.
3. Ultraschall-Zahnsteinentfernung
Zahnstein — die verkalkte Form des Biofilms — lässt sich nur mit professionellen Instrumenten entfernen. Unser modernes Ultraschallgerät erzeugt feine Schallwellen, die den Zahnstein schonend und effektiv sprengen. Gleichzeitig wird die Arbeitsstelle mit Wasser gespült, was die Behandlung angenehmer macht und Bakterien ausspült. Der Ultraschall erreicht auch Stellen, die für manuelle Instrumente schwer zugänglich sind — besonders an der Zahnfleischlinie und in leichten Zahnfleischtaschen.
4. Air-Flow / Pulverstrahltechnik
Nach der Zahnsteinentfernung kommen hartnäckige Verfärbungen und feinste Biofilmreste an die Reihe. Beim Air-Flow-Verfahren (EMS Pulverstrahltechnik) wird ein feines Gemisch aus Wasser, Luft und speziell entwickeltem Pulver mit sanftem Druck auf die Zahnflächen aufgetragen. Das Ergebnis: Kaffeeverfärbungen, Teeflecken und Nikotinbeläge verschwinden nahezu rückstandslos. Das Verfahren ist schonender als viele Patienten erwarten — moderne Pulver (z. B. Glycinpulver) sind so fein, dass sie das Zahnschmelz nicht angreifen und auch am empfindlichen Zahnfleisch eingesetzt werden können.
5. Politur
Nach der Reinigung werden alle Zahnflächen mit einer speziellen Polierpaste und einer rotierenden Bürste oder einem Gummipolier poliert. Die Politur glättet feine Unebenheiten und Mikrorisse im Zahnschmelz, die als Anhaftungspunkte für neuen Biofilm dienen würden. Eine glatte Zahnoberfläche ist spürbar glatter beim Zungentest — Bakterien finden weniger Halt, und neue Ablagerungen entstehen langsamer.
6. Fluoridierung
Abschluss jeder PZR ist die Fluoridierung: Ein hochkonzentrierter Fluoridlack wird auf alle Zahnflächen aufgetragen und dort für einige Minuten einwirken gelassen. Fluorid härtet den Zahnschmelz, macht ihn widerstandsfähiger gegen Säureangriffe und beugt so aktiv der Kariesentstehung vor. Besonders nach der mechanischen Reinigung ist dieser Schutzfilm wertvoll, da die Zahnoberfläche frisch gereinigt und besonders aufnahmefähig ist.
7. Individuelle Mundhygieneberatung
Den Abschluss bildet das persönliche Gespräch: Wir zeigen Ihnen anhand des Anfärbebefunds, wo Ihre Schwachstellen liegen, und geben Ihnen konkrete, alltagstaugliche Tipps — welche Zahnbürste passt zu Ihnen, welche Zahnseide oder Interdentalbürste für Ihre Zahnzwischenräume geeignet ist, und wie Sie Ihren Biofilm zu Hause zuverlässig kontrollieren. Diese individuelle Beratung ist der Schlüssel dafür, dass die positiven Effekte der PZR so lange wie möglich anhalten.
Airflow, GBT oder Ultraschall — Ihr Vergleich
In modernen Zahnarztpraxen stehen heute verschiedene Reinigungsverfahren zur Verfügung — und nicht jede Technik ist für jeden Patienten gleich gut geeignet. Wir erklären Ihnen die Unterschiede, damit Sie verstehen, warum wir für Ihre individuelle Situation das optimale Verfahren wählen.
| Ultraschall | Air-Flow (EMS) | GBT (Guided Biofilm Therapy) | |
|---|---|---|---|
| Methode | Schallwellen sprengen Zahnstein | Pulver-Wasserstrahl entfernt Beläge und Verfärbungen | Biofilm-gesteuertes Protokoll: Anfärben, Air-Flow, Ultraschall, Politur |
| Komfort | Mittel | Hoch | Sehr hoch |
| Behandlungsdauer | 45–60 Min. | 45–60 Min. | 60–75 Min. |
| Ideal für | Starker Zahnstein, subgingivale Reinigung | Starke Verfärbungen, Raucher, Kaffee-/Teetrinker | Implantate, empfindliche Zähne, Parodontitis-Patienten |
| Schonend für Schmelz | Ja (bei korrekter Anwendung) | Sehr schonend (Glycinpulver) | Maximal schonend |
| Geeignet bei Implantaten | Bedingt (spezielle Aufsätze nötig) | Ja | Ja (optimiert für Titan- und Keramikoberflächen) |
Die Guided Biofilm Therapy (GBT) ist das aktuell modernste Protokoll für die professionelle Zahnreinigung. Entwickelt von EMS (Switzerland), basiert es auf dem Prinzip, erst den gesamten Biofilm anzufärben, dann systematisch mit Air-Flow zu entfernen und abschließend nur dort mit Ultraschall zu arbeiten, wo tatsächlich harter Zahnstein verblieben ist. Das Ergebnis: maximale Schonung der Zahnhartsubstanz und des Zahnfleisches bei optimaler Reinigungstiefe.
In unserer Praxis in Oberföhring setzen wir alle drei Verfahren ein — je nach Ausgangssituation, Empfindlichkeit und Ihrem persönlichen Wunsch. Bei der Erstberatung besprechen wir gemeinsam, welches Verfahren am besten zu Ihnen passt. Kein Konkurrent in Bogenhausen oder Oberföhring bietet Ihnen diese Auswahl mit derselben persönlichen Beratung.

Für wen ist die professionelle Zahnreinigung besonders wichtig?
Grundsätzlich profitiert jeder Mensch von regelmäßiger professioneller Zahnreinigung. Es gibt jedoch bestimmte Personengruppen, für die eine PZR nicht nur empfehlenswert, sondern medizinisch besonders bedeutsam ist:

Kinder und Jugendliche (ab ca. 6 Jahren)
Sobald die ersten bleibenden Zähne durchbrechen, lohnt sich die erste professionelle Zahnreinigung. Kinderzähne haben eine noch poröse Schmelzstruktur, die anfälliger für Karies ist. Die PZR für Kinder umfasst neben der eigentlichen Reinigung auch spielerisches Putztraining und eine Fluoridierung — beides wirkt nachweislich vorbeugend. Unsere Dentalhygienikerinnen haben Erfahrung mit Kindern und schaffen eine entspannte Atmosphäre, die den Grundstein für ein positives Zahnarzt-Erlebnis legt. Weitere Informationen finden Sie auf unserer Seite zur Kinderzahnheilkunde.
Erwachsene — Prophylaxe als Investition
Für Erwachsene empfehlen wir die PZR mindestens einmal jährlich, bei erhöhtem Karies- oder Parodontitisrisiko zweimal. Wer regelmäßig kommt, spart langfristig: Eine Studie aus Schweden zeigte, dass Patienten mit konsequenter Prophylaxe über 30 Jahre nur minimale Zahnverluste erlitten — verglichen mit einem Kontrollkollektiv ohne Vorsorge. Die PZR ist damit nicht nur Ästhetik, sondern handfeste Gesundheitsvorsorge.
Schwangere — Schutz für Mutter und Kind
In der Schwangerschaft verändert sich der Hormonhaushalt erheblich — das Zahnfleisch reagiert empfindlicher auf Bakterien und neigt zu Schwangerschaftsgingivitis, einer hormonal verstärkten Zahnfleischentzündung. Studien belegen einen Zusammenhang zwischen unbehandelter Parodontitis und Frühgeburtsrisiko. Eine PZR in der Schwangerschaft ist sicher, schonend und ausdrücklich empfohlen — am besten im zweiten Trimester. Sprechen Sie uns an, wir beraten Sie gern.
Implantatträger — Schutz vor Periimplantitis
Zahnimplantate benötigen eine andere Reinigung als natürliche Zähne: Das Titan- oder Keramikmaterial darf nicht durch metallische Instrumente beschädigt werden. Gleichzeitig ist das Gewebe um das Implantat anfälliger für Entzündungen (Periimplantitis), die im schlimmsten Fall zum Implantatverlust führen können. Wir verwenden für die Implantat-PZR spezielle Carbon- und Kunststoffinstrumente sowie Air-Flow mit Glycinpulver. Empfohlen werden alle drei bis vier Monate. Mehr erfahren Sie unter Implantologie.
Senioren — Schutz vor Wurzelkaries
Im Alter zieht sich das Zahnfleisch häufig zurück und legt Zahnwurzeln frei. Wurzelzement ist weicher als Zahnschmelz und damit deutlich kariesanfälliger. Die PZR spielt deshalb für Senioren eine besonders wichtige Rolle: Sie entfernt Beläge von den freiliegenden Wurzelflächen und schützt durch intensive Fluoridierung. Bei Patienten mit eingeschränkter Feinmotorik übernehmen wir gern auch einen größeren Teil der täglichen Reinigung.
KFO-Patienten mit fester Spange
Festsitzende kieferorthopädische Apparaturen — Brackets und Drähte — machen die häusliche Mundhygiene erheblich schwieriger. Biofilm und Kariesläsionen entstehen bevorzugt rund um Brackets. Für KFO-Patienten empfehlen wir PZR-Termine im Zwei- bis Dreimonatsrhythmus. Wir arbeiten eng mit kieferorthopädischen Kollegen zusammen und stimmen den Reinigungsplan auf die jeweilige Behandlungsphase ab.
PZR und Allgemeingesundheit — mehr als nur saubere Zähne
Die Verbindung zwischen Mundgesundheit und Allgemeingesundheit ist wissenschaftlich gut belegt — und wird von vielen Patienten noch unterschätzt. Der Mund ist kein isoliertes Organ: Bakterien und Entzündungsmediatoren aus dem Mundraum können über den Blutkreislauf den gesamten Körper beeinflussen.
Herz-Kreislauf-Erkrankungen: Patienten mit chronischer Parodontitis haben ein signifikant erhöhtes Risiko für Herzinfarkt und Schlaganfall. Parodontale Bakterien (insbesondere Aggregatibacter actinomycetemcomitans und Porphyromonas gingivalis) wurden direkt in arteriosklerotischen Plaques nachgewiesen. Regelmäßige PZR senkt die Gesamtkeimzahl und reduziert damit systemische Entzündungsmarker wie CRP.
Diabetes mellitus: Zwischen Parodontitis und Diabetes besteht eine bidirektionale Beziehung: Schlecht eingestellter Blutzucker begünstigt Zahnfleischentzündungen, und umgekehrt verschlechtert eine unbehandelte Parodontitis die Blutzuckerkontrolle. Studien zeigen, dass Parodontitisbehandlung bei Diabetikern den HbA1c-Wert um bis zu 0,4% senken kann.
Schwangerschaftskomplikationen: Wie im Abschnitt Schwangere beschrieben, ist behandelte Parodontitis mit einem erhöhten Frühgeburtsrisiko assoziiert. Eine präventive PZR vor und während der Schwangerschaft gehört deshalb zur modernen Präventivmedizin.
Der schwedische Zahnarzt Per Axelsson legte in einer Langzeitstudie über 30 Jahre eindrucksvoll dar: Eine konsequente professionelle Prophylaxe reduziert die Kariesentstehung um bis zu 70% und verhindert nahezu vollständig den parodontitisbedingten Zahnverlust. Diese Daten gelten bis heute als Meilenstein der Präventivzahnmedizin.
Weiterführende Informationen finden Sie bei der Deutschen Gesellschaft für Parodontologie (DG PARO) und der Bundeszahnärztekammer (BZÄK). Bei Anzeichen einer Parodontitis empfehlen wir unsere spezialisierte Parodontologie-Behandlung.
Kosten der PZR und Krankenkassen-Zuschüsse
Die Kosten für eine professionelle Zahnreinigung in München variieren je nach Umfang der Behandlung, dem eingesetzten Verfahren und der Behandlungsdauer. Wir legen größten Wert auf Transparenz: Bevor wir beginnen, kennen Sie den Preis.
Warum variieren die Preise? Entscheidend sind: die Anzahl der zu reinigenden Zähne, der Grad der Ablagerungen (wenig oder viel Zahnstein?), das eingesetzte Verfahren (Standard PZR, Air-Flow oder GBT), und ob Implantate gereinigt werden müssen. Eine Standard-PZR bei guter Mundhygiene dauert ca. 45 Minuten; bei starken Ablagerungen oder GBT kann die Behandlung 75 Minuten dauern.
Was zahlen gesetzliche Krankenkassen?
Gesetzliche Krankenversicherungen übernehmen die PZR nicht als Regelleistung — sie ist eine Individuelle Gesundheitsleistung (IGeL). Allerdings bezuschussen viele Kassen die PZR im Rahmen ihrer Bonusprogramme oder Satzungsleistungen. Hier eine Übersicht der gängigen Zuschüsse (Stand 2025/2026 — Angaben ohne Gewähr, bitte bei Ihrer Kasse bestätigen):
| Krankenkasse | Zuschuss PZR | Häufigkeit |
|---|---|---|
| Techniker Krankenkasse (TK) | Bis 40 EUR | 1x pro Jahr |
| AOK Bayern | Bis 50 EUR | 1x pro Jahr (Bonusprogramm) |
| Barmer | Bis 50 EUR | 2x pro Jahr |
| DAK-Gesundheit | Bis 60 EUR | 2x pro Jahr |
| IKK Classic | Bis 40 EUR | 1x pro Jahr |
Angaben ohne Gewähr — bitte bestätigen Sie den genauen Zuschuss direkt bei Ihrer Krankenkasse.
Private Krankenversicherung: Die meisten privaten Krankenversicherungen übernehmen die PZR vollständig oder zu einem großen Teil — je nach Tarif und Präventionsbonus. Wir stellen Ihnen nach der Behandlung eine detaillierte Rechnung nach GOZ aus, die Sie bei Ihrer Versicherung einreichen können.
Nutzen Sie außerdem unseren Festzuschuss-Rechner, um Ihre individuellen Kostenerstattungsansprüche zu berechnen.

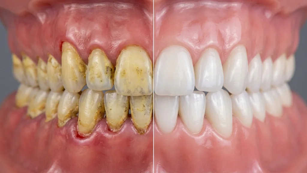
Vorher & Nachher — Was Sie nach der PZR erwarten können
Viele Patienten sind überrascht, wie deutlich der Unterschied nach einer professionellen Zahnreinigung ist — sowohl optisch als auch vom Gefühl her. Hier beschreiben wir realistisch, was Sie unmittelbar nach der Behandlung und in den folgenden Wochen erleben werden.
Unmittelbar nach der PZR: Ihre Zähne fühlen sich glatt und frisch an — ein Gefühl, das man erst wirklich bemerkt, wenn man es erlebt. Verfärbungen durch Kaffee, Tee oder Rotwein sind deutlich reduziert oder vollständig verschwunden. Das Zahnfleisch kann noch kurzzeitig leicht empfindlich sein, was vollkommen normal ist und sich innerhalb von 24 bis 48 Stunden gibt. Die Fluoridierung hinterlässt einen leicht kreidigen Film auf den Zähnen — das ist gewollt und zeigt, dass der Fluoridlack arbeitet.
In den ersten Tagen: Das Zahnfleisch, das vorher durch Entzündungen leicht geschwollen war, zieht sich zurück und wirkt definierter. Bei manchen Patienten erscheinen die Zähne nach der PZR leicht heller — das liegt nicht an einer Bleichung, sondern daran, dass die natürliche Zahnfarbe wieder zum Vorschein kommt, wenn Verfärbungen entfernt wurden. Für eine tatsächliche Zahnaufhellung empfehlen wir unser professionelles Bleaching.
Langfristig: Mit regelmäßiger PZR bleibt das Zahnfleisch gesünder, Karies tritt seltener auf, und Zahnstein bildet sich langsamer. Patienten, die konsequent zur Prophylaxe kommen, haben messbar tiefere Zahnfleischtaschen und deutlich weniger Zahnverluste im Alter. Das ist das eigentliche Versprechen der PZR: nicht nur schöne Zähne heute, sondern gesunde Zähne für Jahrzehnte.

Ihr Prophylaxe-Team in Oberföhring
In unserer Zahnarztpraxis an der Oberföhringer Straße 183a wird die professionelle Zahnreinigung ausschließlich von ausgebildeten Dentalhygienikerinnen und speziell fortgebildeten Zahnmedizinischen Fachangestellten (ZFA) mit Prophylaxe-Zertifikat durchgeführt. Das bedeutet: Ihre PZR ist in fachkundigen Händen, die genau wissen, worauf es ankommt.
Dr. Christina Dickel hat das gesamte Praxisteam in evidenzbasierter Prophylaxe und GBT-Protokollen ausgebildet. Ihr liegt besonders am Herzen, dass Prophylaxe nicht als lästige Pflichtübung verstanden wird, sondern als echter Mehrwert für Ihre Gesundheit. Deshalb nehmen wir uns Zeit für Sie — jede Sitzung beginnt mit einer Befundaufnahme und endet mit einer persönlichen Beratung, die auf Ihre individuelle Situation eingeht.
Für uns ist Prophylaxe keine Routinearbeit — jede Sitzung ist auf Sie persönlich abgestimmt.
Unsere Praxis ist als zertifizierte Prophylaxe-Praxis anerkannt (Bundeszahnärztekammer, 2020). Die Praxisöffnungszeiten sind Montag bis Donnerstag von 8 bis 19 Uhr und Freitag von 8 bis 13 Uhr — so finden wir auch für Berufstätige einen Termin. Vereinbaren Sie Ihren PZR-Termin unter 089 95760618 oder nutzen Sie unsere Online-Terminbuchung.
Mehr zu unserem Leistungsangebot im Bereich Prophylaxe finden Sie auf unserer Prophylaxe-Seite.
Risiken und Sicherheit der professionellen Zahnreinigung
Die professionelle Zahnreinigung ist eine der sichersten und am besten verträglichsten Behandlungen in der modernen Zahnmedizin. Sie ist keine chirurgische Intervention und hinterlässt keine bleibenden Veränderungen. Dennoch ist es uns wichtig, vollständig transparent zu sein — informierte Patienten sind zufriedenere Patienten.
Mögliche, in der Regel kurzzeitige Nebeneffekte sind im Folgenden aufgeführt. Unsere erfahrenen Dentalhygienikerinnen arbeiten mit modernsten, schonenden Geräten und passen die Behandlungsintensität jederzeit an Ihre individuelle Empfindlichkeit an. Vor der Behandlung sprechen wir mit Ihnen über bekannte Allergien oder Unverträglichkeiten.
Häufig gestellte Fragen zur Professionellen Zahnreinigung
Hier finden Sie Antworten auf die Fragen, die uns Patienten aus München, Bogenhausen und Oberföhring am häufigsten zur professionellen Zahnreinigung stellen. Falls Ihre Frage nicht dabei ist, rufen Sie uns gern an unter 089 95760618 — wir helfen Ihnen gern weiter.
Kosten im Überblick
| Leistung | Preisrahmen | Hinweis |
|---|---|---|
| Standard PZR (45 Min.) | 80 – 120 EUR | Ultraschall + Politur + Fluoridierung |
| Premium Air-Flow PZR (60 Min.) | 120 – 160 EUR | Inkl. EMS Air-Flow Pulverstrahltechnik |
| GBT Zahnreinigung (75 Min.) | 140 – 180 EUR | Guided Biofilm Therapy — besonders schonend |
| Implantat-PZR | 150 – 200 EUR | Spezialreinigung um Implantate mit angepassten Instrumenten |
| Kinder-PZR (bis 14 J.) | 40 – 80 EUR | Inkl. Fluoridierung und Putztraining |
Standard PZR (45 Min.)
80 – 120 EUR
Ultraschall + Politur + Fluoridierung
Premium Air-Flow PZR (60 Min.)
120 – 160 EUR
Inkl. EMS Air-Flow Pulverstrahltechnik
GBT Zahnreinigung (75 Min.)
140 – 180 EUR
Guided Biofilm Therapy — besonders schonend
Implantat-PZR
150 – 200 EUR
Spezialreinigung um Implantate mit angepassten Instrumenten
Kinder-PZR (bis 14 J.)
40 – 80 EUR
Inkl. Fluoridierung und Putztraining
Viele gesetzliche Krankenkassen bezuschussen die PZR. Informieren Sie sich bei Ihrer Kasse über den genauen Zuschuss. Hier finden Sie auch unseren Festzuschuss-Rechner.
Gesetzlich Versicherte erhalten je nach Krankenkasse einen Zuschuss von 30–60 EUR pro Jahr. Private Versicherungen übernehmen die PZR in der Regel vollständig (je nach Tarif). Wir erstellen Ihnen eine detaillierte Rechnung nach GOZ zur Vorlage bei Ihrer Versicherung.
Risiken und Sicherheit
Die professionelle Zahnreinigung ist eine der sichersten und routinemäßigsten Behandlungen in der Zahnmedizin. Nebenwirkungen sind minimal und vorübergehend:
Kurzfristige Zahnempfindlichkeit
Häufig (normal)
Klingt nach 1–2 Tagen ab, Fluoridlack hilft
Leichtes Zahnfleischbluten
Häufig (normal)
Bei entzündetem Zahnfleisch normal, bessert sich mit regelmäßiger PZR
Zahnfleischreizung
Gelegentlich
Sanfte Technik, klingt innerhalb weniger Stunden ab
Allergische Reaktion auf Polierpaste
Sehr selten (<0.1%)
Anamnese vorab, allergenfreie Alternativen verfügbar
Unsere Dentalhygienikerinnen arbeiten mit modernsten Geräten und sanften Techniken. Vor jeder Behandlung besprechen wir Ihre individuelle Empfindlichkeit und passen die Behandlung entsprechend an.
Häufige Fragen
Qualifikationen und Zertifikate
2016
Curriculum Parodontologie
Deutsche Gesellschaft für Parodontologie (DG PARO)
2015
Curriculum Ästhetische Zahnheilkunde
Deutsche Gesellschaft für Ästhetische Zahnheilkunde (DGÄZ)
2020
Zertifizierte Prophylaxe-Praxis
Bundeszahnärztekammer (BZÄK)
2012
Staatsexamen Zahnmedizin
Heinrich-Heine-Universität Düsseldorf
Verwandte Leistungen
Weitere Behandlungsoptionen
Ähnliche Behandlungen
Bereit für Ihre
Professionelle Zahnreinigung (PZR)?
Vereinbaren Sie noch heute Ihren Beratungstermin und lassen Sie sich von unserer Expertise überzeugen. Wir freuen uns darauf, Ihnen zu einem gesunden und strahlenden Lächeln zu verhelfen.